掲載日: 2025/10/28




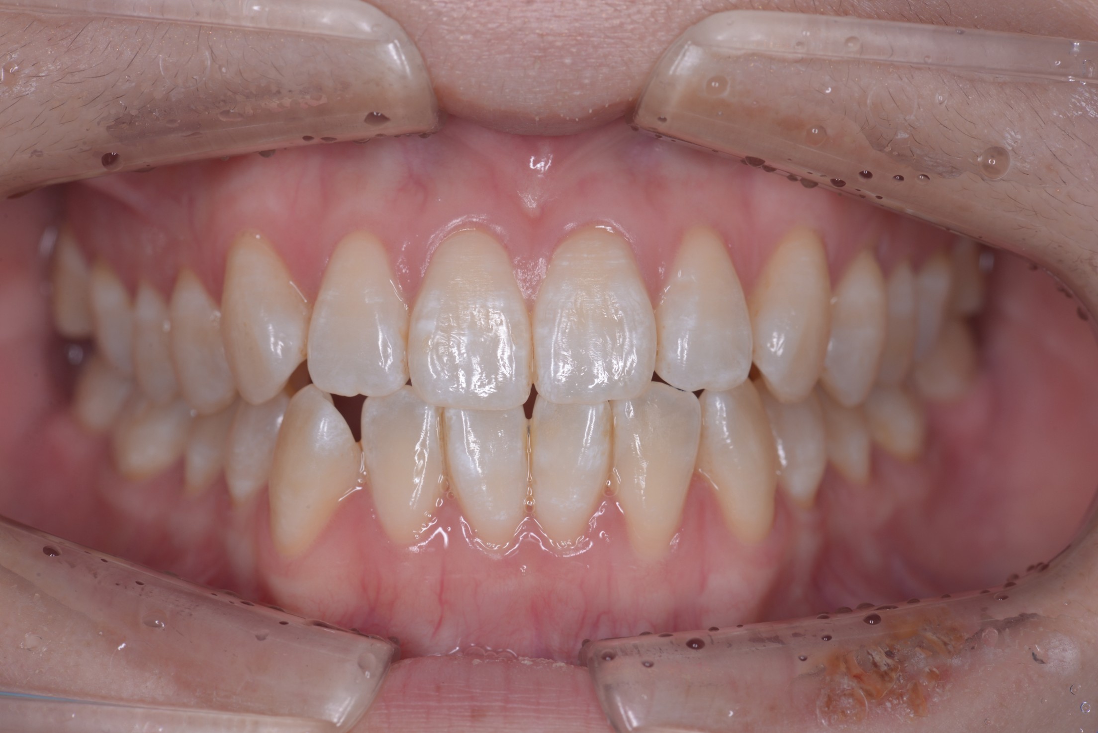
「半年前に治療した右上奥歯に違和感がある」とご相談いただきました。
拝見したところ、右上奥歯(第2小臼歯)には保険診療の白い被せ物であるCADCAMが装着されていました。
レントゲン撮影をして検査すると、その手前の右上奥歯(第1小臼歯)には神経や血管が通る根管に清掃と消毒を行う根管治療が施されていました。しかし、歯の内部に細菌が侵入して炎症を起こし、歯根の先に膿が溜まる根尖病巣(こんせんびょうそう)を発症している状態です。
このまま放置すると、歯根の周辺組織にまで感染が広がって歯を支える骨が溶け、将来的に歯を失うリスクがあります。
以上のことから、右上奥歯(第1小臼歯)を早急に治療する必要があると診断しました。
患者様は「再発は避けたい。歯を温存してほしい」と希望されていたため、以下の治療方法を提案し、同意いただきました。
①歯科用顕微鏡(マイクロスコープ)を用いて歯の内部に侵入した細菌を除去する「精密根管治療」を行う
メリット:肉眼で見えにくい部分まで確認しながら処置ができるため、保険診療の根管治療と比べて精度の高い治療が可能で、再び炎症が生じるリスクを軽減できる
デメリット:自費診療なので比較的費用がかかる
②セラミックの被せ物(セラミッククラウン)を装着する
メリット:天然歯のような色味を再現できる。経年劣化しにくく、虫歯の再発リスクが低い
デメリット:自費診療なので費用がかかる
まず、唾液に含まれる細菌や血が根管内に入るのを防ぐため、ラバーダム(ゴム製のシート)で患部周辺を覆って治療部位だけを露出させ、マイクロスコープで確認しながら感染部位を丁寧に除去します。
根管内が清潔になったことを確認したら、再び細菌が入り込まないようしっかりと薬を詰めました。
レントゲン撮影で根尖病巣の治癒を確認後、最終的な被せ物を作製するため、歯の形を整えてから型取りを行います。
後日、完成したセラミッククラウンを装着し、噛み合わせや見た目に問題がないかを確認して、治療を終了しました。
270,000円税別
再発なく良好です。
・まれに根管治療後も再治療、外科手術、抜歯などの処置が必要となる場合があります
・治療中まれに器具の破折、被せ物や詰め物など修復物の損傷、歯の破折が起こる場合があります
・治療中や治療後に不快症状が出たり、治療後に痛みや腫れなどが生じたりする可能性があります
・装着に際し、天然歯を削る場合があります
・硬い素材の場合、他の天然歯を傷つけることがあります
・一部の治療を除き、自費診療(保険適用外治療)です
掲載日: 2025/10/28



「歯ぐきにニキビみたいなものができている」とご相談いただきました。
拝見したところ、右上前歯の歯ぐきにニキビのような膨らみができていました。
レントゲン検査を行った結果、右上前歯の歯根の先端に膿が溜まる根尖(こんせん)病巣が確認できました。
歯ぐきにできた膨らみはフィステルと呼ばれ、歯や周囲の組織に感染が広がった際に膿を体外に排出するために自然に形成される通り道です。
歯ぐきに白く膨らんだできものとして現れ、見た目はニキビに似ていますが、これは内部に感染が潜んでいるサインとされています。
感染の拡大を防ぎ歯を温存するためには、歯根の内部に入り込んだ細菌を徹底的に除去し清掃・消毒を行う根管治療が必要と診断しました。
歯科用顕微鏡(マイクロスコープ)を用いて根の内部を清掃する精密根管治療を提案し、同意いただきました。
精密根管治療のメリット・デメリット
メリット:肉眼では見えにくい部分まで正確に確認しながら処置できるため、保険診療の根管治療に比べて精度の高い治療が可能となり、再び炎症を起こすリスクを軽減できる
デメリット:自費診療のため費用がかかる
まず、唾液や細菌の侵入を防ぐため治療する歯にラバーダム(ゴム製のシート)を装着しました。これにより、清潔な環境を保ったまま精密な処置ができます。
続いて歯の裏側から穴を開け、そこから歯根内部をマイクロスコープで確認しながら感染部位を丁寧に除去し、洗浄・消毒しました。
歯根の内部が清潔になったことを確認したうえで、再び細菌が入り込まないよう薬剤で密閉しています。
最後にフィステルが消失していることが確認できたため、治療を終了しました。
44,000円 精密根管治療のみ
再発はなく良好です。
・まれに根管治療後も再治療、外科手術、抜歯などの処置が必要となる場合があります
・治療中まれに器具の破折、被せ物や詰め物など修復物の損傷、歯の破折が起こる場合があります
・治療中や治療後に不快症状が出たり、治療後に痛みや腫れなどが生じたりする可能性があります
・一部の治療を除き、自費診療(保険適用外)です
掲載日: 2025/09/09










「左下の奥歯の詰め物が取れたので診てほしい」とご相談いただきました。
拝見したところ、左下奥歯の詰め物が外れていました。
患者様は噛み合わせがずれており、それが原因で詰め物が外れたと考えられます。
また以前の治療で、右下奥歯には前後の歯を土台として欠損部を補うブリッジが装着されていましたが、噛み合わせが乱れた状態です。
さらに被せ物をしている上の前歯もやり直して、総合的に改善したいと希望されていました。
以上のことから、詰め物が外れた奥歯を修復するとともに、お口全体の噛み合わせを調整する必要があると診断しました。
診断結果をお伝えしたうえで以下の治療内容を提案し、同意いただきました。
①左下奥歯は欠けている範囲が大きいため、詰め物ではなく歯の形を整えてからゴールド(金合金)の被せ物を装着する。右下奥歯はゴールドでブリッジを作り直して、噛み合わせを改善させる。
メリット:ゴールドは耐久性が高く、割れや摩耗の心配が少ない
デメリット:ゴールドは自由診療のため、保険診療に比べて費用がかかる。見た目が目立つため好みが分かれる
②上前歯は被せ物を外してから、マイクロスコープ(歯科用顕微鏡)を用い、精密に根管を治療する「マイクロ根治」を行い、セラミックの被せ物を装着する。
メリット:マイクロスコープを使用することで、肉眼では確認しにくい根管の細部を確認できるため、より正確で精密な治療を目指すことができる
デメリット:保険適用外のため費用が高額になる。細部の治療に集中するため治療期間が長くなる
まず左下奥歯は、歯の形を整えてから精密な型を取り、ゴールドで被せ物を作製しました。
右下奥歯については、装着されていたブリッジを取り外したあと、土台となる歯の形を整え精密な型取りを行い、ゴールドで新しいブリッジを作製します。
後日、完成した被せ物やブリッジを、噛み合わせを丁寧に調整しながら装着しました。
上前歯はマイクロ根治を行ったあとに、美しさと強度に優れたセラミックの被せ物を装着しました。
また、そのほかの部位も新たに被せ物や詰め物を作製して装着し、噛み合わせを整えています。
お口全体の噛み合わせのずれが改善したことで口も開けやすくなり、治療を終了しました。
約1,000,000円
経過も良好で、定期健診に来られています。
・まれに根管治療後も再治療、外科手術、抜歯などの処置が必要となる場合があります
・治療中や治療後に不快症状が出たり、治療後に痛みや腫れなどが生じたりする可能性があります
・土台となる歯に負担がかかるため、将来的に歯が揺れたり、歯の根が割れたりする可能性があります
・噛み合わせや歯ぎしりが強い場合、被せ物が破損する可能性があります
・装着に際し、天然歯を削る場合があります
・一部の治療を除き、自費診療(保険適用外治療)です
掲載日: 2025/09/09


「前歯の歯茎が膿んでいるので診てほしい」とご相談いただきました。
左上前歯の歯茎が腫れている原因を確認するためにレントゲン撮影を行ったところ、歯根の先に膿が溜まる「根尖(こんせん)病巣」が認められました。
この歯は過去に、細菌に感染した神経を取り除き、洗浄・消毒をして薬を詰める「根管治療」が行われていました。
しかし、何らかの理由で細菌感染を起こし、根尖病巣が生じたと考えられます。
このまま放置すると、根尖病巣がさらに広がり歯を支える骨を溶かしたり、強い痛みや腫れを引き起こすおそれがあり、最終的に歯の温存が困難になる可能性もあるため早急な治療が必要だと診断しました。
マイクロスコープ(歯科用顕微鏡)を用いた精密根管治療を提案しました。
メリット:肉眼では観察が難しい部位をマイクロスコープでしっかり確認しながら処置できるため、根尖病巣の再発リスクを軽減できる。保険適用の一般的な根管治療と比べ、治療回数が少なく済む
デメリット:1回の治療時間が長くなる傾向がある。自由診療のため費用がかかる
メリットやデメリットなど、治療について詳しくお伝えしたところ、患者様はできるだけ短期間で根尖病巣が再発しにくい方法を希望され、治療に同意いただきました。
まずは、治療部位への唾液や細菌の侵入を防ぐために、治療する歯にラバーダム(ゴム製のシート)を装着しました。これにより、清潔な環境を保ったまま精密な処置をすることが可能となり、感染を予防できます。
次に、歯の裏側から穴を開け、そこから歯根内部をマイクロスコープで確認しながら感染部位を丁寧に除去し、洗浄・消毒します。歯根の内部がきれいになったことを確認して、再び細菌が入り込まないように薬剤で密閉しました。
根管治療後の歯は強度が低下しているため、ファイバーポストと呼ばれるグラスファイバー製の土台を立てて補強します。
その上から、高強度の歯科用プラスチックであるダイレクトボンディングを用いて歯の形態修復を行い、噛み合わせに問題がないことを確認した後、治療を終了しました。
約100,000円
その後も再発なく経過は良好です。
・まれに根管治療後も再治療、外科手術、抜歯などの処置が必要となる場合があります
・治療中まれに器具の破折、被せ物や詰め物など修復物の損傷、歯の破折が起こる場合があります
・治療中や治療後に不快症状が出たり、治療後に痛みや腫れなどが生じたりする可能性があります
・強い力や衝撃が加わった場合、割れたり欠けたりする可能性があります
・広範囲にわたって修復が必要な場合は、適用できない可能性があります
・自費診療(保険適用外治療)です
掲載日: 2025/09/09


「歯並びが気になるので治したい」とご相談いただきました。
拝見したところ、上下の歯並びに大きな乱れは見られないものの、右前歯の一部は上下の歯が噛み合わず、わずかに隙間が空いていました。
また、左側は上奥歯が外側に、下奥歯が内側に傾いていることで上下の歯がすれ違い、正常に噛み合っていない鋏状咬合(はさみじょうこうごう)も認められます。
このままの状態を放置すると、一部の歯に過度な力がかかって痛みや歯の破折などが生じたり、顎の関節に負担がかかったりするおそれがあります。
さらに、前歯の隙間は見た目の問題だけでなく、息が漏れることで発音への影響も懸念されました。
以上のことから、審美性と機能性の両方を考慮しながら噛み合わせを改善する必要があると診断しました。
歯並びを改善するために、歯の表面に装置を固定して治療を行うワイヤー矯正を提案し、同意いただきました。
メリット:隙間を閉じたり歯の傾きを修正したりなど、歯を大きく動かす治療に適している。歯科医師の管理下で治療が進むため、患者様の自己管理に左右されにくく治療の予測が立てやすい
デメリット:固定式の装置なので食事や歯磨きがしにくく、目立ちやすい。装置の調整で定期的な通院が必要になる
まず、歯の表面にブラケットと呼ばれるボタン状の装置を接着し、そこにワイヤーを通して歯を動かすマルチブラケット装置を用いて矯正治療を開始します。
定期的に通院いただいてワイヤーの調整や交換を行いながら、右上前歯を引っ張り出したり左奥歯の傾きを修正したりして、それぞれの歯を適切な位置へ移動させました。
ワイヤー矯正を始めて1年程たった頃、患者様より「結婚式があるため、早く矯正装置を外したい」との希望がありました。
この時点で歯並びはある程度整っていましたが、一部まだしっかりと噛み合っていない部位が残っています。
そこで、ワイヤー矯正から取り外し可能な装置「シュアスマイル・アライナー」によるマウスピース矯正へ移行することを提案し、同意いただきました。
マウスピース矯正は、装着時間が短いと治療効果を得にくいため、毎日決められた時間装着を続けるなど患者様の自己管理が重要になります。一方で、マウスピースは透明なので目立ちにくく、食事や歯みがきの際は取り外すことができるため、日常生活への影響が少ない点が大きなメリットです。
マウスピース矯正を行うため、まずは口腔内スキャナーを用いて歯型を採取し、そのデータをもとに患者様専用のマウスピースを作製します。
その後、定期的にマウスピースを交換しながら段階的に歯を動かし、ワイヤー矯正から移行後、約1年半かけて噛み合わせを整えました。
最後に、見た目と機能面の両方で安定した噛み合わせになったことを確認し、治療を終了しています。
約1,200,000円
その後も後戻りなく、経過は良好です。
・治療中、装置によってまれに頬の内側が傷つき、口内炎になる場合があります
・歯の移動に伴って、違和感や痛みを感じる場合があります
・冷たいものを飲んだときに歯がしみる「知覚過敏」の症状が出る場合があります
・決められたスケジュールを守らない場合、十分な効果が得られない可能性があります
・マウスピースに対応していない症例の場合、治療が難しい可能性があります
・正しいブラッシングやメンテナンスを行わない場合、虫歯や歯周病のリスクが高まります