更新日: 2025/12/10
掲載日: 2023/04/08


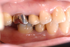
「左下の銀歯が噛むと痛い」とご相談いただきました。
拝見したところ、左下の銀歯(第1大臼歯/6番)の歯と歯ぐきの間の溝「歯周ポケット」が深くなっていました。
歯の根の周りを覆っている「セメント質」も剥がれ、炎症が起きて膿が出ており、抜歯が必要でした。
さらに、この歯を銀歯にした後ぐっと噛む癖がついてしまったことで、反対側の右下奥歯(第2大臼歯/7番)が割れて抜歯していましたが、欠損したままになっていました。
また、左上と左下の一番奥に、噛み合わせに関与していない親知らず(第3大臼歯/8番)が残っていました。
患者様は、人工の土台を埋める「インプラント治療」は希望しないとのことでした。
歯を失った部分にご自身の歯を移植する「トランスプラント」をご提案しました。
右下の奥歯が欠損した部位には左上の親知らずを移植し、痛みのある左下の奥歯は抜いてから埋まっている左下の親知らずを移植することで、インプラントを行わずに歯を補える可能性があることをご説明し、同意いただきました。
移植する歯に神経が残っていると、移植後に上手く定着しない可能性があるため、まずは左上の親知らずの神経を取り除き、中をきれいにしました。
その後、親知らずを少し引っ張り出す「エクストルージョン」を約2ヶ月行い、歯を抜きやすくするとともに、歯が定着するために必要な「歯根膜(しこんまく)」を温存し、移植が成功するよう努めました。
右下の欠損した部位に、移植するための穴を作ってからトランスプラントを行い、移植した歯を糸とワイヤーで固定しました。
1週間後に糸を外し、約3ヶ月後に仮歯を入れて問題なく噛めるか確認した後、移植後半年で最終的な被せ物を入れました。
左下の奥歯に関しては、先にエクストルージョンを行ってあごの骨の高さをなるべく均等にしてから抜歯し、左下の親知らずを移植する計画を立てました。
ところが、エクストルージョンを開始して2ヶ月経過しても左下の奥歯は動かず、引っ張る際に使用している隣の歯が揺れ始めました。
そこで、歯を分割してから再度引っ張ると、奥側の半分は動きましたが、手前側は骨と癒着しており動かすのは難しいことがわかりました。
その後左下の親知らずを歯根膜を傷つけないよう慎重に抜歯し、左下の奥歯を抜くと同時に移植して、糸で固定しました。
1週間後に糸を外し、1ヶ月後に歯の根をきれいにする治療を開始して、移植した歯の定着を図りました。
約3ヶ月後に仮歯を入れ、右側と同様に問題なく噛めることを確認した後、移植後半年で最終的な被せ物を装着しました。
移植2本 約600,000円(税別)
右下の歯は移植後3年が経過し、痛みなどもなく良好です。
左下の歯に関してもレントゲンで歯根膜の存在が確認でき、しっかり定着しています。エクストルージョンで歯根膜を温存した結果と思われます。
患者様にも「自分の歯で噛むことができて嬉しい」と大変ご満足いただきました。
現在も定期的な検診でご来院いただき、経過を拝見しています。
・移植が成功しない場合があります
・親知らずの状態によっては移植ができない場合があります
・あごの骨の状態によっては移植ができない場合があります

















