更新日: 2025/12/10
掲載日: 2023/04/08


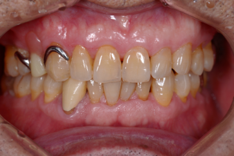
「左上の奥歯を抜いたので、うまく噛めない。インプラントは考えていない」とご相談いただきました。
拝見すると、左上の奥歯2本(第1大臼歯/6番・第2大臼歯/7番)が欠損していました。歯周病などを理由に抜歯し、その後放置されていた状態と考えられました。
左右の下の親知らず(第3大臼歯/8番)が2本残っていました。
右上の奥歯2本(第1小臼歯/4番・第2大臼歯)は、歯ぐきが腫れて「歯周病」が見られました。
天然歯である左右の下の親知らず2本を抜歯した後、左上の欠損部分に移植して噛み合わせも改善する治療方法をご提案し、ご了承いただきました。
移植を行う前に、まずは親知らずの神経を取って管をきれいにする「根管治療」を行いました。
その後、親知らずの「歯根膜(しこんまく)」を多く残すために、矯正治療を部分的に行う「MTM」を施しました。
歯根膜とは、歯と顎の骨「歯槽骨(しそうこつ)」との間を結び付ける組織でクッションの役割をします。この歯根膜が多く残っていると、移植後の歯と骨の結合が強くなるため、移植の成功率が上がると言われています。
次に、親知らずの抜歯を行って「ドナー歯」として、欠損部分に移植しました。
移植直後は、歯肉の包帯である「歯周パック」を行うことで、傷口保護やドナー歯の固定、止血と治癒を促進しました。
最後に傷口の治癒やドナー歯の安定を確認し、銀歯を被せて治療を完了しました。
また、右上の奥歯2本は保存が難しかったため、抜歯をして部分入れ歯を作製しました。
約600,000円(税別)
親知らずの移植が成功し、しっかり噛めるようになりました。
患者様も「自分の歯を使えたのも、噛めるようになったのも嬉しい」と、非常にご満足いただいています。
治療から10数年経過した現在も変わらず使用できており、定期検診にてメンテナンスを続けています。
・移植が成功しない場合があります
・顎の骨や親知らずの状態によっては、移植できない場合があります













