更新日: 2023/04/10
掲載日: 2023/04/08


「顎関節症が悪化して、口が開かない」とご相談いただきました。
拝見すると、左上奥歯(第2大臼歯/7番)はもともと歯がなく、空いていた部分に後から親知らず(第3大臼歯/8番)が生えていました。
この親知らずがまっすぐ生えていないのが原因で口を開ける時に邪魔になっており、「顎関節症」の症状のひとつである口が開かない「開口障害」が起きており、噛み合わせも悪くなっていました。
このまま放置すると症状が進行して、さらに噛み合わせが悪くなったり食事が上手くとれなかったりと心身に影響があるため、早急な治療が必要と診断しました。
顎関節症の原因となっている悪い噛み合わせを改善するために、親知らずを含む奥歯4本(第1小臼歯/4番・第2小臼歯/5番・第1大臼歯/6番・第3大臼歯/8番)について、移動させたり向きを変えたりする「部分矯正」を行いました。
その後、高さや歯の大きさなど足りない部分に銀の被せ物をして、ぴったりフィットさせました。
通常の矯正治療では歯を全体的に動かして、歯並びや噛み合わせを整えますが、部分矯正は全体ではなく必要な部分だけを整える歯科矯正です。今回のようなケースや、インプラント・被せ物の治療のために部分的に歯を動かしたい時などに適しています。
約 200,000円(調整料込み)(税別)
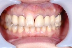
噛み合わせが整い、お口がしっかり開くようになって、顎関節症が改善されました。
患者様にも「口が開けられるので、食事がしやすくなって嬉しい」とご満足いただいています。
現在は、健康的な状態を維持していくために、定期検診にご来院いただいています。
・矯正装置を装着すると、違和感が出ることがあります
・親知らずの矯正は、症例によって計画通りにいかない場合があります
・噛み合わせの調整のために被せ物をする場合があります











