医院ブログ
掲載日: 2025/09/09
院長 武内 清隆HPはこちらhttps://www.takeuchidental.com/
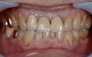
当院では、お口の中の健康とお口周りの美しさをトータル的に考えた治療を心がけています。歯科医院の目的は、虫歯・歯周病の歯の治療です。しかし最も力を入れるべきことは、虫歯や歯周病にならないための予防指導だと考えます。 プラークコントロールや歯の健康診断を定期的に受けることで大切な歯を守れるのです。丈夫で健康な歯は、何でも美味しく食べることができ、いつまでも若々しい口元と笑顔を保てます。当院の指導で、ご自分の歯で末永く健康にいきいきお過ごしいただきたいと思っています。